Dr Muhammed Riyadh is a distinguished medical professional in the field of orthopedics, has made significant contributions to the healthcare industry through a career marked by expertise, compassion, and unwavering dedication to patient well-being

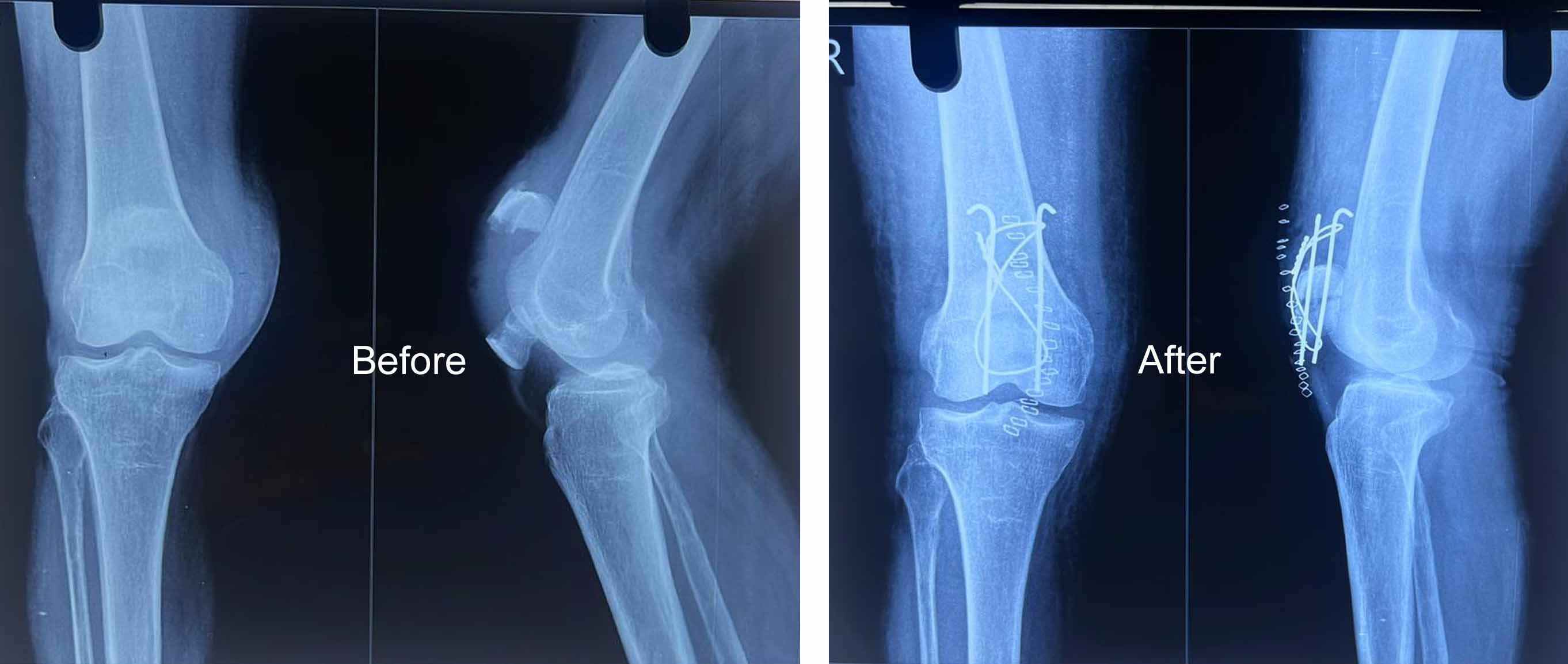
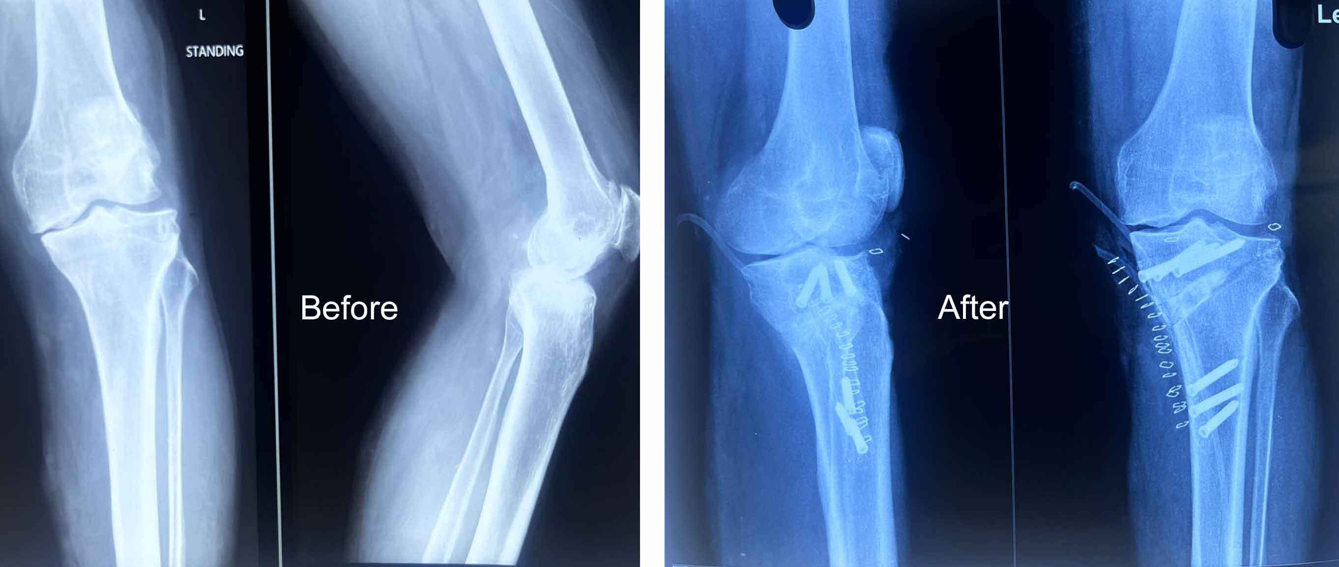
Gallery